2026

Batty P, Beneder H, Schätz C, Onea G, Zaczek M, Kutschat AP, Abele M, Müller S, Superti-Furga G, Winter GE, Seruggia D. Disruption of the SAGA CORE triggers collateral degradation of KAT2A. Nature Communications 2026 doi.org/10.1038/s41467-026-71613-7

Becerra B*, Wittibschlager S*, Patel ZM*, Kutschat AP, Delano J, Che E, Tauber A, Wu T, Starrs M, Horstmann CS, Müller S, Whittaker MN, Sylvander E, Lehner M, Love MI, Kleinstiver BP, Jankowiak M, Bauer DE#, Seruggia D#, Pinello L# Nucleotide-Resolution Mapping of Regulatory Elements via Allelic Readout of Tiled Base Editing. Nature Communications 2026 doi: 10.1038/s41467-026-69918-8 (*co-first authors; #co-corresponding authors).

Montano-Gutierrez LF*, Muller S*, Kutschat AP, Seruggia D#, Halbritter F#. Directing stem cell differentiation by chromatin state approximation Nucleic Acids Research 2026 doi.org/10.1093/nar/gkag124. (*co-first authors; #co-corresponding authors).
2025

Kutschat AP, Frommelt F, Santini BL, Müller S, Batty P, Karbon G, Superti-Furga G, Seruggia D. Leukemia risk factor ARID5B coordinates HDAC-mediated transcriptional repression. Biorxiv 2025 doi.org/10.1101/2025.10.17.683040

Rica R, Waldherr M, Miyakoda E, Kutschat AP, Schulein M, Zhang J, Orbegozo-Medina RA, Sandner L, Stolz V, Walterberger D, Krausgruber T, Bock C, Boucheron N, Seruggia D, Ellmeier W, Sakagouchi S. HDAC1 controls the generation and maintenance of effector-like CD8+ T cells during chronic viral infection. J Exp Med 2025 doi:10.1084/jem.20240829

Neuwirth T, Malzl D, Knapp K, Tsokkou P, Kleissl L, Gabriel A, Reininger B, Freystätter C, Marella N, Kutschat AP, Ponweiser E, Haschemi A, Seruggia D, Menche J, Wagner E, Stary G. The polyamine-regulating enzyme SSAT1 impairs tissue regulatory T cell function in chronic cutaneous inflammation. Immunity 2025 DOI: 10.1016/j.immuni.2025.02.011
2024

Igvf Consortium. Deciphering the impact of genomic variation on function. Nature 2024 (review) doi.org/10.1038/s41586-024-07510-0

De Sá Fernandes C, Novoszel P, Gastaldi T, Krauss D, Lang M, Rica R, Kutschat AP, Holcmann M, Ellmeier W, Seruggia D, Strobl H, Sibilia M. Epigenetic and Transcriptional regulation of Dendritic Cell development and anti-tumor immunity by HDAC1 Cell Reports 2024 doi.org/10.1016/j.celrep.2024.114308

Viennet T, Yin M, Jayaraj A, Kim W, Sun ZJ, Fujiwara Y, Zhang K, Seruggia D, Seo H, Dhe-Paganon S, Orkin SH, Arthanari H. Structural Insights into the DNA-Binding Mechanism of BCL11A: The Integral Role of ZnF6. Structure 2024 doi.org/10.1101/2024.01.17.576058
2023

Manieri E, Tie G, Malagola E, Seruggia D, Madha S, Maglieri A, Huang K, Fujiwara Y, Zhang K, Orkin SH, Wang TC, He R, McCarthy N, Shivdasani RA. Role of PDGFRA+ cells and a CD55+ PDGFRALo fraction in the gastric mesenchymal niche. Nature Communications 2023 doi.org/10.1038/s41467-023-43619-y

Guardia A, Fernández A, Seruggia D, Chotard V, Sánchez-Castillo C, Kutsyr O, Sánchez-Sáez X, Zurita E, Cantero M, Rebsam A, Cuenca N, Montoliu L. A slc38a8 mouse model of FHONDA syndrome faithfully recapitulates the visual 1 deficits of albinism without pigmentation defects IOVS 2023 doi: 10.1167/iovs.64.13.32

Li BE, Li GY, Cai W, Zhu Q, Seruggia D, Fujiwara Y, Vakoc CR, Orkin SH. In vivo CRISPR/Cas9 screening identifies Prbm1 as a regulator of mouse myeloid leukemia development. Blood Advances 2023 doi.org/10.1182/bloodadvances.2022009455
2022

Mehta S, Buyanbat A, Kai Y, Karayel O, Goldman S, Seruggia D, Zhang K, Fujiwara Y, Donovan K, Zhu Q, Yang H, Nabet B, Gray N, Mann M, Fischer E, Adelman K, Orkin SH. Temporal resolution of gene derepression and proteome changes upon PROTAC-mediated degradation of BCL11A protein in erythroid cells. Cell Chemical Biology 2022 doi.org/10.1016/j.chembiol.2022.06.007.

Singh H, Seruggia D, Madha S, Saxena M, Nagaraja AK, Wu Z, Zhou J, Huebner AJ, Maglieri A, Wezenbeek J, Hochedlinger K, Orkin SH, Bass AJ, Hornick JL, Shivdasani RA. Transcription factor-mediated intestinal metaplasia and the role of a shadow enhancer. Genes and Development 2022 doi/10.1101/gad.348983.121.
2021

Shahin T, Kuehn HS, Shoeb MR, Gawriyski L, Giuliani S, Repiscak P, Hoeger B, Petronczki OY, Bal SK, Zoghi S, Dmytrus J, Seruggia D, Castanon I, Rezaei N, Varjosalo M, Halbritter F, Rosenzweig S, Boztug K. Germline biallelic mutation affecting the transcription factor Helios causes pleiotropic defects of immunity. Science Immunology 2021 DOI: 10.1126/sciimmunol.abe3981
2020 and earlier

Seruggia D, Fernández A, Cantero M, Fernandez-Miñan A, Gomez-Skarmeta JL, Pelczar P, Montoliu L. Boundary sequences flanking the mouse tyrosinase locus ensure faithful pattern of gene expression. Scientific Reports 2020 doi.org/10.1038/s41598-020-72543-0

Cai W, Huang J, Zhu Q, Li BE, Seruggia D, Zhou P, Nguyen M, Fujiwara Y, Xie H, Yang Z, Hong D, Ren P, Xu J, Pu WT, Yuan GC, Orkin SH. Enhancer-dependence of gene expression increases with developmental age. PNAS 2020 doi: 10.1073/pnas.2008672117

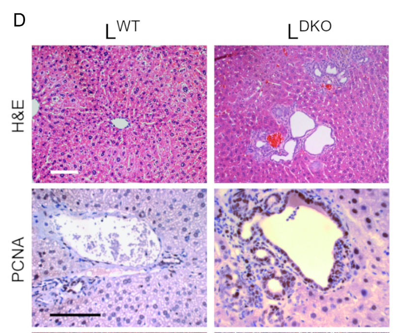
Manieri E, Estaban-Lafuente L, Rodriguez ME, Leiva-Vega L, Cubero FJ, Barrett T, Cavanagh-Kyros J, Seruggia D, Monte MJ, Marin J, Davis RJ, Mora A, Sabio G. JNK-mediated disruption of bile acid homeostasis promotes intrahepatic cholangiocarcinoma. PNAS 2020 Jun 29;202002672 doi.org/10.1073/pnas.2002672117

Seruggia D, Oti M, Tripathi P, Canver MC, LeBlanc L, Di Giammartino DC, Bullen MJ, Nefzger CM, Sun YBY, Farouni R, Polo JM, Pinello L, Apostolou E, Kim J, Orkin SH, Das PP. TAF5L and TAF6L Maintain Self-Renewal of Embryonic Stem Cells via the MYC Regulatory Network. Mol Cell. 2019 doi: 10.1016/j.molcel.2019.03.025

Sher F#, Hossain M#, Seruggia D#, Schoonenberg VAC, Yao Q, Cifani P, Dassama LMK, Cole MA, Ren C, Vinjamur DS, Macias-Trevino C, Luk K, McGuckin C, Schupp PG, Canver MC, Kurita R, Nakamura Y, Fujiwara Y, Wolfe SA, Pinello L, Maeda T, Kentsis A, Orkin SH, Bauer DE. Rational targeting of a NuRD subcomplex guided by comprehensive in situ mutagenesis. Nat Genet. 2019 (#equal contribution) doi: 10.1038/s41588-019-0453-4

Debruyne DN, Dries R, Sengupta S, Seruggia D, Day D, Gao Y, Sharma B, Huang H, Moreau L, McLane M, Marco E, Chen T, Gray NS, Wong K, Orkin SH, Yuan GC, Young RA, George RE. BORIS promotes chromatin regulatory interactions in treatment-resistant cancer cells. Nature 2019 doi: 10.1038/s41586-019-1472-0

Di Pilato M, Kim EY, Cadilha BL, Prüßmann JN, Nasrallah MN, Seruggia D, Usmani SM, Misale S, Zappulli V, Carrizosa E, Mani V, Ligorio M, Warner RD, Medoff BD, Marangoni F, Villani AC, Mempel TR. Targeting the CBM complex causes Treg cells to prime tumours for immune checkpoint therapy. Nature. 2019 doi: 10.1038/s41586-019-1215-2

LeBlanc L, Lee BK, Yu AC, Kim M, Kambhampati AV, Dupont SM, Seruggia D, Ryu BU, Orkin SH, Kim J. Yap1 safeguards mouse embryonic; stem cells from excessive apoptosis during differentiation. Elife 2018 doi: 10.7554/eLife.40167

Seruggia D, Fernández A, Cantero M, Pelczar P, Montoliu L. Functional validation of mouse tyrosinase non-coding regulatory DNA elements by CRISPR-Cas9-mediated mutagenesis. Nucleic Acids Res. 2015 doi: 10.1093/nar/gkv375

Wang J, Vicente-García C, Seruggia D, Moltó E, Fernandez-Miñán A, Neto A, Lee E, Gómez-Skarmeta JL, Montoliu L, Lunyak VV, Jordan IK. MIR retrotransposon sequences provide insulators to the human genome. PNAS. 2015 doi: 10.1073/pnas.1507253112

Hermann M, Stillhard P, Wildner H, Seruggia D, Kapp V, Sánchez-Iranzo H, Mercader N, Montoliu L, Zeilhofer HU, Pelczar P. Binary recombinase systems for high-resolution conditional mutagenesis. Nucleic Acids Res. 2014 doi: 10.1093/nar/gkt1361

full list here
